En 1892, el médico Alejandro Posadas reportó el primer informe sobre la infección “coccidioidomicosis” desde la Argentina. Luego, se detectó en otros países, y en los Estados Unidos la llamaron “fiebre del Valle”. Existe en casi toda la región de las Américas, y los casos de personas afectadas están creciendo como consecuencia de los efectos del calentamiento global inducido por actividades humanas.
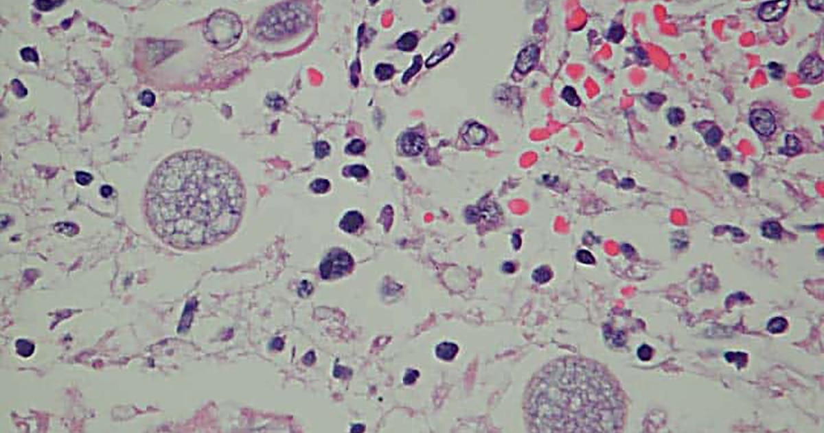
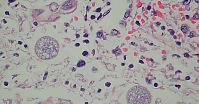
Se trata de una infección causada por los hongos Coccidioides immitis y Coccidioides posadasii. Estos patógenos pueden impactar desde los Estados Unidos y México hasta la Argentina.
Esos hongos se encuentran en el suelo y sus esporas son liberadas al ambiente árido o semiárido. Las personas pueden contraer la enfermedad al inhalar esas esporas.
“A pesar de que se la conoce desde hace más de 100 años, la coccidioidomicosis se encuentra desatendida, como todas las micosis sistémicas endémicas”, dijo a Infobae el doctor Gustavo Giusiano, investigador del Conicet y jefe del departamento de micología del Instituto de Medicina Regional (IMR) de la Universidad Nacional del Nordeste en la Argentina.
La infección es causada por hongos del género Coccidioides (C. immitis y C. posadasii), cuyas esporas presentes en suelos áridos o semiáridos pueden inhalarse, propagando la enfermedad/Fundación IO
“Los afectados pueden contraer la infección en zonas áridas o semiáridas de países que van desde los Estados Unidos hasta la Argentina, y el cambio climático favoreció el aumento de casos de coccidioidomicosis. El aumento de los períodos de sequía y de vientos contribuye al incremento de la incidencia”, expresó el científico.
Hay varias pruebas del aumento de los casos y ya la Agencia de Protección Ambiental de los Estados Unidos dio una advertencia. Señaló que a medida que el oeste de ese país experimenta una sequía prolongada e incendios forestales cada vez más grandes e intensos, las partículas en forma de polvo y humo de incendios forestales son cada vez más frecuentes, lo que coincide con un aumento de la incidencia de la fiebre del Valle.
También un grupo de investigadores del Centro de Toxicología de la Universidad de Saskatchewan, Canadá; y el Departamento de Biología Integrativa y el Centro de Toxicología Integrativa de la Universidad del Estado de Michigan, Estados Unidos, entre otras instituciones, encontró una relación significativa entre el cambio climático y el aumento de casos de fiebre del Valle. Lo publicaron en la revista Environment International.
Según la Agencia de Protección Ambiental de los Estados Unidos los incendios de vegetación también son otro factor que suma para el aumento de los casos de fiebre del Valle como se la llama en ese país. (Imagen ilustrativa Infobae)
Se destacó que el cambio climático está intensificando eventos climáticos extremos como sequías y tormentas de polvo, lo cual facilita la dispersión de esporas de estos hongos, aumentando así los casos de la enfermedad.
Además, los patrones cambiantes de temperatura y precipitación están expandiendo las áreas donde los hongos pueden crecer, lo que también impacta la incidencia de la infección en regiones endémicas y no endémicas.
Los investigadores enfatizaron en la necesidad de que se hagan más estudios para abordar el impacto del cambio climático en la expansión de esta enfermedad y mejorar las estrategias de mitigación y protección de la salud pública en las áreas afectadas.
¿Cómo afecta la coccidioidomicosis o fiebre del Valle a las personas?
La coccidioidomicosis puede causar síntomas gripales como fiebre, tos y dolor en el pecho (Imagen Ilustrativa Infobae)
La coccidioidomicosis se transmite principalmente a través de la inhalación de esporas del hongo presentes en el suelo, sobre todo en áreas donde las condiciones ambientales son secas.
En muchas personas, la infección se limita a los pulmones y puede causar síntomas similares a los de una gripe, como fiebre, tos y dolor en el pecho. Sin embargo, en algunos casos, la enfermedad puede volverse crónica y diseminarse a otras partes del cuerpo, causando complicaciones graves. Las personas con sistemas inmunológicos debilitados son más propensas a desarrollar formas graves de la enfermedad.
¿Qué pasa en la Argentina con la coccidioidomicosis?
Los cambios en patrones de precipitación y temperatura están expandiendo las áreas donde los hongos pueden crecer (Imagen Ilustrativa Infobae)
En un estudio publicado en la revista Medical Mycology de la Universidad de Oxford, el Laboratorio Nacional de Referencia en Micología Clínica del Instituto ANLIS/Malbrán llevó a cabo una revisión retrospectiva de los casos de coccidioidomicosis humana diagnosticados entre 2010 y 2022.
Durante este período, se documentaron un total de 100 casos de la enfermedad. La edad promedio de los pacientes fue de 41 años. Al comparar los casos entre los períodos de 2000–2009 y 2010–2019, se observó un aumento del 36.51%.
En cuanto a la distribución geográfica, la provincia de Catamarca concentró el 64% de los casos. Sin embargo, desde 2018 hasta 2022, se observó una tendencia a la baja en la región.
En Argentina, entre 2010 y 2022, se diagnosticaron 100 casos de coccidioidomicosis/Fundación iO
Es preocupante que más de la mitad de los casos diagnosticados correspondieran a formas crónicas pulmonares o diseminadas, lo que indica una falta de detección temprana de la enfermedad, de acuerdo con los autores.
“Tanto en la Argentina como en otras áreas de América se requiere que el personal de salud de las áreas endémicas cuente con una mayor capacitación y disponibilidad de métodos de detección para que no dependan siempre de un centro de referencia que generalmente no está cerca”, afirmó el doctor Giusiano.
Cómo protegerse contra coccidioidomicosis
Se debe tener precaución en áreas con mucho polvo. También la capacitación de los profesionales de la salud es crucial para detectar casos a tiempo (Imagen Ilustrativa Infobae)
Si bien no es totalmente prevenible, hay algunas medidas que se pueden tomar para reducir el riesgo de contraer la fiebre del valle, según la Clínica Cleveland de los Estados Unidos:
Evite las áreas donde estará expuesto a la suciedad o al polvo.
Cierre las ventanas y permanezca dentro durante las tormentas de polvo.
Evite actividades como jardinería, cavar u otros trabajos de jardinería que puedan exponerlo a esporas de hongos.
Utilice filtros de aire en interiores.
Para evitar infecciones de la piel, limpie bien los cortes y raspaduras con agua y jabón.
“Aún no existe una vacuna para prevenir la coccidioidomicosis. Por eso es clave que el sistema de salud esté preparado para sospechar esta enfermedad ante síntomas compatibles”, sostuvo el doctor Giusiano.

